Lesión pancreática que esconde una transformación quística acinar
Resumen
Objetivo: La transformación quística acinar del páncreas es una patología poco frecuente y que afecta en su mayoría a mujeres de mediana edad.
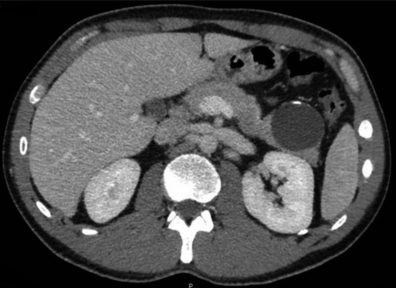
Material y métodos: Presentamos el caso de dicha patología en un varón joven que debutó con dolor en hipocondrio izquierdo y en la pruebas de imagen se evidenció una lesión quística en cola pancreática de 50x45mm, con calcificaciones lineales. Se realizó pancreatectomía distal.
Resultados: El diagnóstico anatomopatológico informó de transformación quística acinar.
Discusión: Dada la dificultad de un diagnóstico preoperatorio, es frecuente someter al paciente a una intervención quirúrgica con una elevada morbilidad, a pesar de tratarse de una lesión benigna, ya que se siguen las indicaciones quirúrgicas para otras patologías quísticas pancreáticas. La presencia de mutaciones y el hecho de que algunos de ellos también presentan cambios epiteliales mucinosos, justificaría el debatir la posibilidad de mantener a estos pacientes bajo vigilancia a largo plazo.
DOI: http://dx.doi.org/10.35687/s2452-454920240021969
Copyright (c) 2024 Revista de Cirugía

Este obra está bajo una licencia de Creative Commons Reconocimiento 4.0 Internacional.




