Perforación aórtica secundaria a cuerpo extraño. Una etiología infrecuente.
Resumen
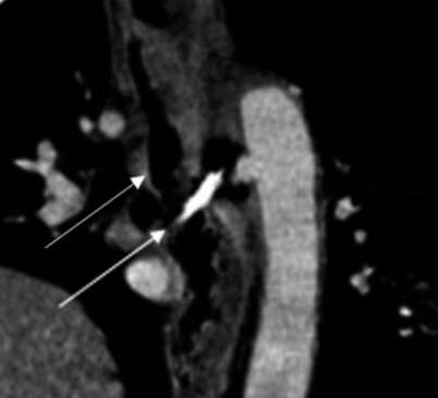
La perforación esofágica secundaria a cuerpos extraños es una patología infrecuente. Puede ser asintomática o asociarse a complicaciones como mediastinitis, perforación aórtica o incluso pericárdica. La fístula aortoesofágica por perforación esofágica se asocia a alta mortalidad siendo fundamental su manejo precoz.
DOI: http://dx.doi.org/10.35687/s2452-454920240062172
Copyright (c) 2024 Revista de Cirugía

Este obra está bajo una licencia de Creative Commons Reconocimiento 4.0 Internacional.




