Neumotórax espontáneo bilateral metastásico. Inusual manifestación de metástasis pulmonar.

Resumen
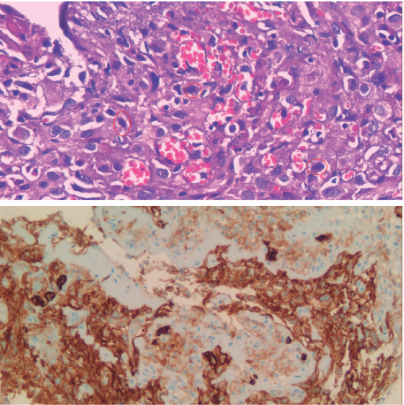
Objetivo: Comunicar el caso de una paciente de 77 años tratada de un angiosarcoma de cuero cabelludo, que evoluciona con neumotórax bilateral, cuyo estudio histopatológico informa enfermedad metastásica. Material y método: Revisión de ficha clínica electrónica, registro informático de imagenología e informes de biopsias. Seguimiento ambulatorio en policlínico de cirugía. Resultados: Se realiza manejo por videotoracoscopía bilateral, con bulectomía más pleurodesis. Discusión: El neumotórax secundario por enfermedad metastásica es poco frecuente, aproximadamente 1 a 2% de los casos. De los tumores que más frecuentemente metastizan al pulmón se encuentran los sarcomas. Conclusión: El neumotórax metastásico es poco frecuente y requiere un alto índice de sospecha. Su manejo va a depender del pronóstico y de las condiciones generales del paciente.
DOI: http://dx.doi.org/10.35687/s2452-454920210011006
Copyright (c) 2021 Revista de Cirugía

Este obra está bajo una licencia de Creative Commons Reconocimiento 4.0 Internacional.