Lesión pancreática que esconde una transformación quística acinar

Rocío Forneiro Pérez, Pablo Dabán López, Clotilde Moreno Cortés
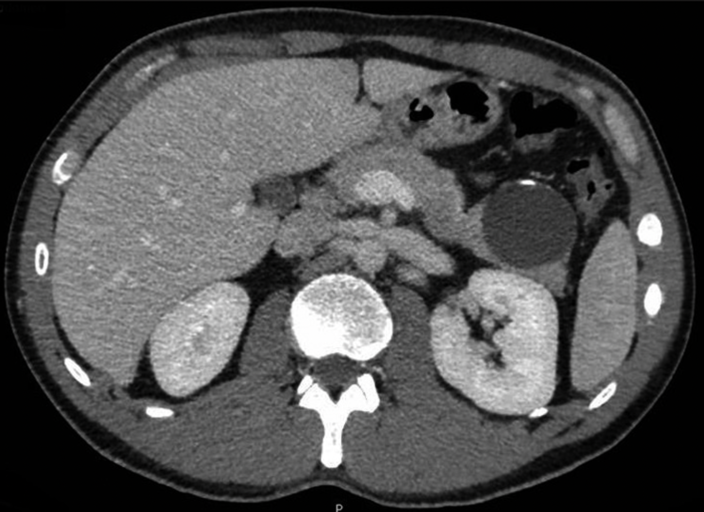
Imagen de portada

Resumen


Objetivo: La transformación quística acinar del páncreas es una patología poco frecuente y que afecta en su mayoría a mujeres de mediana edad.

Material y métodos: Presentamos el caso de dicha patología en un varón joven que debutó con dolor en hipocondrio izquierdo y en la pruebas de imagen se evidenció una lesión quística en cola pancreática de 50x45mm, con calcificaciones lineales. Se realizó pancreatectomía distal.

Resultados: El diagnóstico anatomopatológico informó de transformación quística acinar.

Discusión: Dada la dificultad de un diagnóstico preoperatorio, es frecuente someter al paciente a una intervención quirúrgica con una elevada morbilidad, a pesar de tratarse de una lesión benigna, ya que se siguen las indicaciones quirúrgicas para otras patologías quísticas pancreáticas. La presencia de mutaciones y el hecho de que algunos de ellos también presentan cambios epiteliales mucinosos, justificaría el debatir la posibilidad de mantener a estos pacientes bajo vigilancia a largo plazo.


Forneiro Pérez R, Dabán López P, Moreno Cortés C. Lesión pancreática que esconde una transformación quística acinar. Rev Cir.. 2024;76(2). Disponible en: doi:10.35687/s2452-454920240021969 [Accessed 18 oct. 2025].
Forneiro Pérez, R., Dabán López, P., & Moreno Cortés, C. (2024). Lesión pancreática que esconde una transformación quística acinar. Revista de Cirugía, 76(2). doi:http://dx.doi.org/10.35687/s2452-454920240021969


DOI: http://dx.doi.org/10.35687/s2452-454920240021969

Copyright (c) 2024 Revista de Cirugía

Licencia de Creative Commons
Este obra está bajo una licencia de Creative Commons Reconocimiento 4.0 Internacional.