SINDROME MEDULAR AGUDO CAUSADO POR HEMATOMA EPIDURAL TRAS PUNCIÓN ANESTÉSICA

Resumen
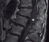
La combinación de anestesia general con analgesia epidural se considera como el gold-estándar para la cirugía abdominal por vía laparotómica. Ante la aparición de síntomas neurológicos en el postoperatorio inmediato de pacientes portadores de catéter epidural es preciso sospechar de complicaciones relacionadas con el mismo.En caso de presentar un hematoma epidural, es fundamental un diagnóstico precoz con prueba de imagen y la realización de una cirugía descompresiva urgente.
DOI: http://dx.doi.org/10.35687/s2452-45492020005740
Copyright (c) 2020 Revista de Cirugía

Este obra está bajo una licencia de Creative Commons Reconocimiento 4.0 Internacional.