Endofuga Tipo IV precoz durante EVAR.
Resumen
La reparación endovascular del aneurisma de aorta abdominal (EVAR) se ha convertido en el principal tratamiento del Aneurisma de Aorta Abdominal (AAA) (1). Sin embargo, las endofugas pueden determinar tasas de reintervención y complicaciones no despreciables (2).
La endofuga tipo IV (3) se caracteriza por flujo sanguíneo a través del material de recubrimiento de las endoprótesis (porosidad) (4), generalmente debido a la heparinización durante el procedimiento (5).
Presentamos un paciente femenino de 79 años con antecedentes de Hipertensión Arterial y Diabetes Mellitus que presentaba un AAA Infrarenal, planificándose EVAR.
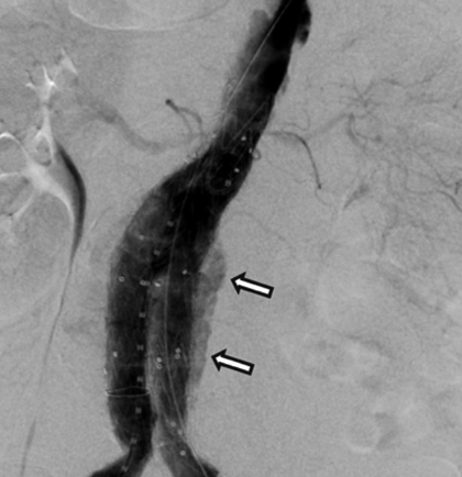
En la angiografía final se identificó flujo de contraste a través del cuerpo de la endoprótesis (endofuga tipo IV) que rellenaba el saco aneurismático (Figura 1), siendo diagnosticado al descartar otras endofugas (Ia, Ib, II y III) y evidenciar un tiempo de activación de coagulación mayor a 400 s. Se decidió manejo conservador y revertir la heparinización con protamina IV.
La paciente evolucionó favorablemente y el AngioTC de control al mes evidenció la correcta situación de la endoprótesis, la exclusión del aneurisma y la ausencia completa de endofugas (Figura 2).
La endofuga tipo IV es infrecuente, su diagnóstico es de descarte y su identificación precoz permite instaurar el tratamiento correspondiente.
DOI: http://dx.doi.org/10.35687/s2452-454920250042578
Copyright (c) 2025 Revista de Cirugía

Este obra está bajo una licencia de Creative Commons Reconocimiento 4.0 Internacional.




